Spotlight Clínico | Nuva®Flow Diverter para Gestão Aneurisma Recorrente
-
2025-08-04
-
LEPU
Paciente: Homem, 58 anos
Diagnóstico: Aneurisma da artéria comunicante posterior direita previamente tratado com embolização por bobina
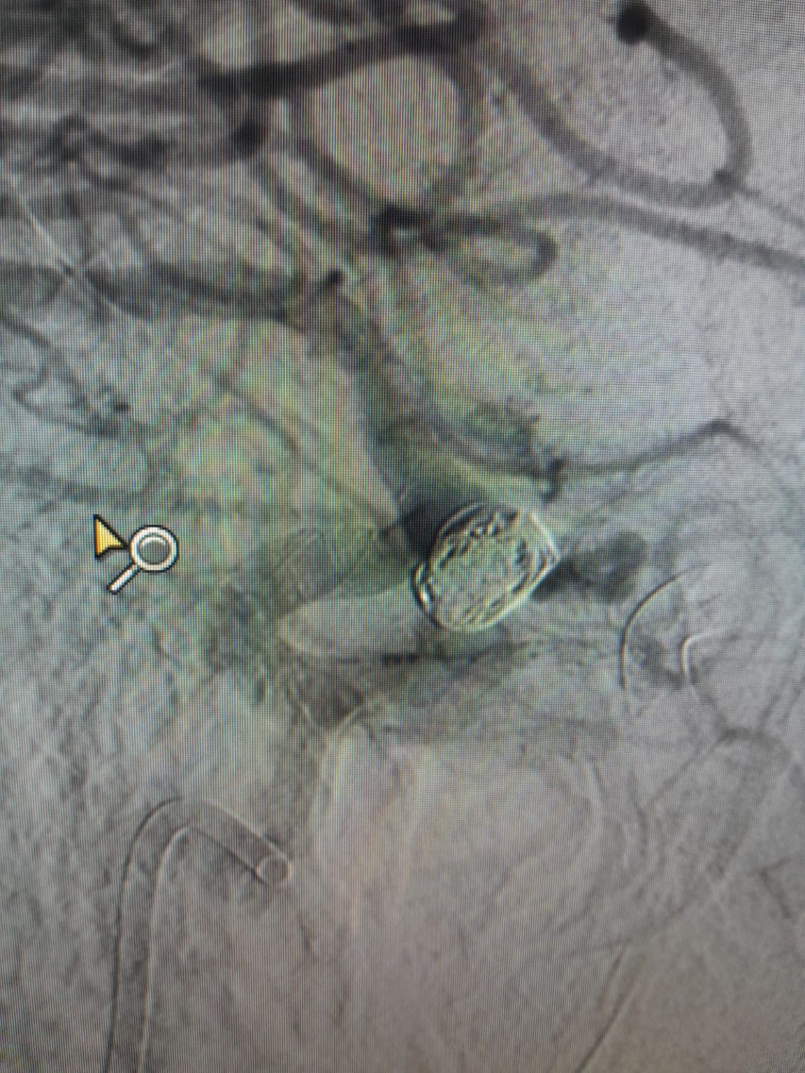
Procedimento:
O procedimento foi realizado com sucesso na Clínica Centenário pelo Dr. Rivera, com o apoio de sua equipe clínica. O acesso vascular foi estabelecido por punção arterial femoral. Um microwire foi cuidadosamente navegado para o local de destino, seguido pelo avanço suave do Frepass.®Microcateter descartável (TJMC18 Plus). Após a medição precisa do aneurisma, a Nuva®Desviador de fluxo (TJED-D-4.5-14) foi selecionado e implantado com sucesso no pescoço do aneurisma.
O procedimento foi concluído sem complicações, e a Nuva®Dispositivo demonstrou excelente aposição parede e fluxo desvio efeito. A equipe clínica reconheceu altamente o manuseio e o desempenho do dispositivo.
Why Nuva®?
1. Nuva®O Flow Diverter oferece navegação suave, mesmo em vasos previamente tratados com bobinas.
2. O dispositivo assegura a implantação segura e a aposição excelente da parede.
3. Nuva®Promove o desvio do fluxo eficaz e apoia a reconstrução a longo prazo da artéria parental.
4. Simplifica procedimentos do retratamento e reduz a complexidade processual.
5. Nuva®Fornece a radiopacidade completa consistente, assegurando a execução lisa do procedimento.
Este caso demonstra ainda que Nuva®Fornece aos médicos uma solução confiável e eficiente para o gerenciamento de aneurismas recorrentes com precisão e confiança.
Contact us>>Marketing@lepu-medical.com
Visit lepumedical website for more >>En.lepumedical.com





