Clinical Spotlight | Tratamento Multi-Aneurisma com Nuva®Flow Diverter e Perdenser®Sistema bobina embólica
-
2025-07-23
-
LEPU
Paciente: Mulher, 48 anos
O paciente foi diagnosticado com um aneurisma sacular da artéria comunicante anterior (AComA) recentemente descoberto e um aneurisma da artéria comunicante posterior (PComA) previamente tratado com embolização por bobina. Imagens de acompanhamento revelaram preenchimento residual no aneurisma do PComA, necessitando de intervenção adicional.
Procedimento
Anterior Comunicando Artéria Aneurisma
O acesso vascular foi estabelecido e a equipe então navegou com sucesso o Frepass®Microcateter descartável (TJMC14) para o local alvo. Embolização foi realizada utilizando três Perdenser®Embolic Coil System (TJCST4.508-3D, TJCST0306-3D, TJCST0206-3D) implantado com o Deromper®Bobina destacamento controlador (TJCDC).
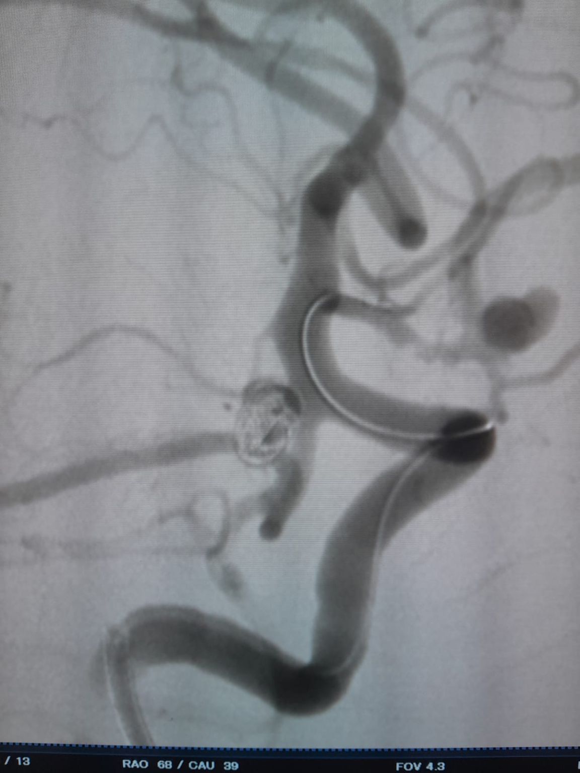
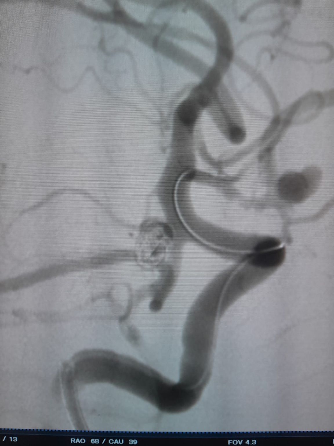
Aneurisma Comunicando Artéria Posterior (Re-tratamento)
Durante o acompanhamento, observou-se enchimento residual no aneurisma da artéria comunicante posterior previamente tratado. A equipe acessou novamente o site usando o Frepass®Microcateter descartável (TJMC18 Plus) e implantado com sucesso um Nuva®Desvio do fluxo (TJED-D-4.5-16), que demonstrou a aposição ideal da parede e o desvio excelente do fluxo, conduzindo aos resultados altamente satisfatórios do tratamento.
Perdensador®E Nuva®Soluções confiáveis para o gerenciamento complexo do aneurisma
Perdensador®: Embolização precisa e de alta densidade
Excelente conformabilidade e alta densidade do empacotamento para oclusão estável do aneurisma.
Uma gama completa de tamanhos para enquadramento, enchimento e acabamento.
Deromper®O sistema do destacamento fornece um mecanismo seguro e seguro da liberação imediata.
Nuva®: Solução eficaz para aneurismas recorrentes
Uma solução eficaz para aneurismas com enchimento residual ou recorrência após o enrolamento inicial.
Navegação suave e implantação confiável.
Parede excelente aposição e desvio estável do fluxo.
Nuva®Simplifica o retratamento, reduz a complexidade processual e melhora os resultados a longo prazo.
Dr. Rivera highly praised the handling, deliverability, and clinical results of TJWY's products, emphasizing their efficiency and reliability in complex aneurysm interventions. The smooth procedural experience and favorable imaging outcomes further strengthened his confidence in TJWY's neurointerventional solutions.
Contact us>>Marketing@lepu-medical.com
Visit lepumedical website for more >>En.lepumedical.com




