Case Sharing | Calcificação Arterial Grave do Membro Inferior Tratada com IVL Periférica ThorCrack
-
2025-09-11
-
LEPU
Recipiente do perfil
· Gênero: Feminino
· Idade: 53 anos
·Chief Complaint: Bilateral foot necrosis with black discoloration for >6 months
· Antecedentes médicos: hemodiálise de longa duração para doença renal terminal, hipertensão e diabetes mellitus com mau controle a longo prazo
Resultados clínicos
· Exame Físico: Pulsos femorais fracos; pulsos poplíteos e pediosos ausentes; ulceração no primeiro dedo esquerdo; necrose no primeiro e segundo dedos direito
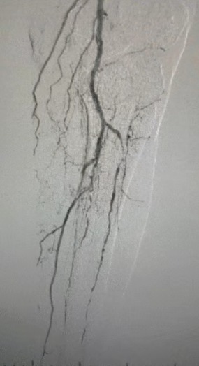
· Imagem pré-operatória: estenose calcificada difusa grave em artérias bilaterais dos membros inferiores
Abordagem do tratamento
Dada a condição vascular complexa, selecionamos o ThorCrack Peripheral IVL Balloon Dilatation Catheter System. Devido à limitada tolerância do paciente, foram realizados procedimentos intervencionistas estadiados em ambos os membros inferiores.
Resultado cirúrgico
Pós-procedimento, a estenose arterial melhorou significativamente, o fluxo sanguíneo aumentou e a temperatura da pele aumentou. Nenhuma complicação pós-operatória ocorreu. Tanto o paciente quanto a equipe cirúrgica ficaram muito satisfeitos com os resultados.
Este caso destaca um grande avanço no tratamento minimamente invasivo para arteriosclerose grave de membros inferiores, fornecendo soluções mais eficazes para casos desafiadores.





