Clinical Spotlight | Nuva Flow Diverter no Tratamento de um Aneurisma Comunicante Posterior da Artéria
-
2025-12-18
-
Lepu
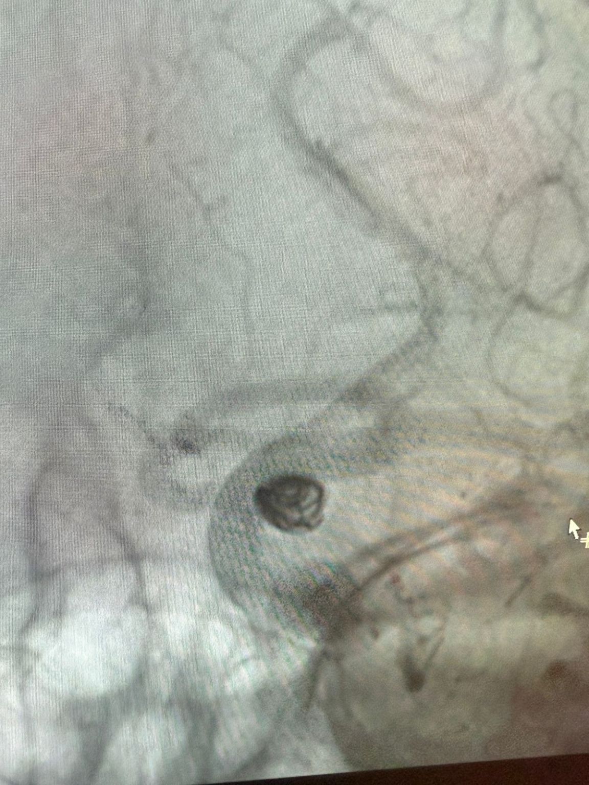
Temos o prazer de compartilhar um recente procedimento bem sucedido na Clínica Alma Mater, Medellín, realizado pelo Dr. Jorge Mutis.
O tratamento utilizou a Nuva®Desvio de fluxo (TJED-D 5.0-14), Perdenser®Bobina 3D, e Frepass®Microcateter (TJMC18 Plus) para aneurisma da artéria comunicante posterior.
Insight clínico:
O Dr. Mutis destacou a excelente visibilidade do dispositivo e observou que a recuperação foi suave. Ele expressou grande satisfação com o resultado final.
A TJWY Medical dedica-se a fornecer soluções neurovasculares confiáveis e de alta qualidade para apoiar os médicos na prestação do melhor atendimento aos seus pacientes. Agradecemos sinceramente a confiança e a colaboração do Dr. Mutis e da equipe na escolha de nossos produtos para este caso.




