Case Sharing | Fratura do úmero diafisário médio a distal do terceiro
-
2025-05-12
-
LEPU
Procedimento: Osteossíntese de placa percutânea minimamente invasiva (MIPPO) via abordagem anterior com sistema Ortho-Bridge
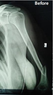
Resumo do Caso: Paciente do sexo feminino, 48 anos, foi diagnosticada como fratura do terço médio-distal da diáfise umeral esquerda (classificação AO: tipo B1).
A equipe cirúrgica optou pela Osteossíntese de Placa Minimamente Invasiva (MIPO) através da abordagem anterior usando um Sistema Ortho-Bridge (OBS). A cirurgia foi concluída com sucesso em 90 minutos, com perda sanguínea estimada de aproximadamente 150 ml e comprimento de incisão de cerca de 8 cm.
Não foi necessária fixação externa no pós-operatório, e o paciente iniciou exercícios de mobilização articular do cotovelo no dia seguinte para evitar rigidez e aderências articulares.
Vantagens do OBS:
1. Configuração flexível-personalizado facilmente para encontrar necessidades clínicas diversas.
2. Minimamente invasivo-Reduz o traumatismo cirúrgico para uma recuperação mais rápida.
3. Safe & Reliable – Ensures secure fixation with high mechanical stability.
4. Multi-Aplicação-Projetado para uso em diferentes partes do corpo.
Contact us>>Marketing@lepu-medical.com
Visit lepumedical website for more >>En.lepumedical.com




