Case Sharing | Fechamento PFO Long-Tunnel com Occluder biodegradável MemoSorb
-
2025-04-28
-
LEPU
30-Year Migraine Relief & 1-Year Follow-Up: Long-Tunnel PFO Closure with MemoSorb Biodegradable Occluder
Today, we share a remarkable case highlighting 1-year post-op outcomes of MemoSorb in treating a complex long-tunnel PFO (12mm length, 1.4mm width), with a focus on serial echocardiographic evidence of device degradation and clinical symptom resolution.
Destaques do Caso
Perfil do Paciente: 53F, 30 anos de história de enxaqueca (muitas vezes unilateral, com duração de horas a dias), 2 episódios sincopais.
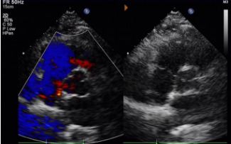
Diagnóstico: Estudo bolha positiva.
Implante: 2424 MemoSorb®Oclusor PFO biodegradável implantado sob orientação eco e DSA.
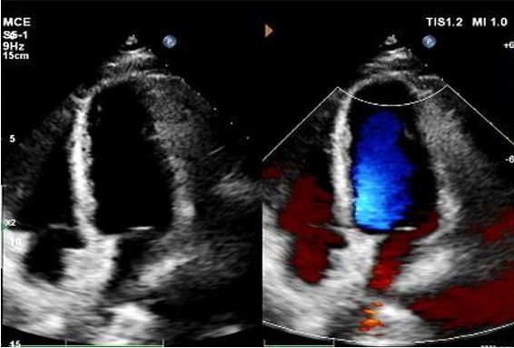
Principais resultados de imagem de acompanhamento
Dias 1 a 9 meses:
Nenhum desvio residual observado.
Redução gradual da ecogenicidade do dispositivo.
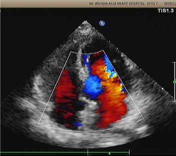
Eco de 1 ano:
No visible disc structures – replaced by 8mm tissue thickening at the septal implant site.
Zero residual shunt (rest or post-Valsalva).
Absorção completa do dispositivo confirmada.
Resultados clínicos:
1. Migraine frequency/severity significantly reduced post-implant.
2. No recurrence of syncope or neurological symptoms.
3. Patient-reported improved quality of life.
Contact us>>Marketing@lepu-medical.com
Visit lepumedical website for more >>En.lepumedical.com




