Case Sharing | Primeiro uso internacional do NUVA Flow Diverter da TJWY Med na Colômbia
-
2025-01-15
-
LEPU
Case Sharing | First Overseas Use of TJWY Med's NUVA Flow Diverter in Colombia
Temos o prazer de anunciar a implementação bem-sucedida do desviador de fluxo NUVA da TJWY Medical no primeiro caso no exterior na Colômbia! Esta intervenção inovadora foi realizada pelo renomado neurorradiologista Dr. Nelson Lobelo.
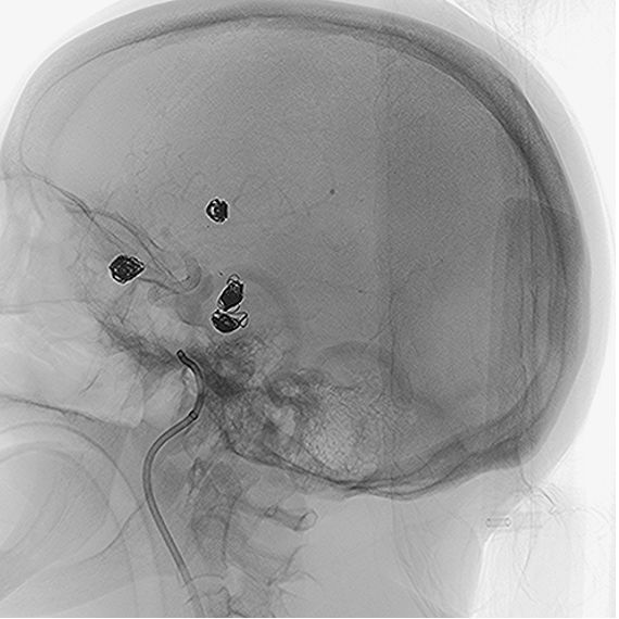
Resumo do Caso:
• The patient presented with multiple unruptured giant wide-neck aneurysms. A pre-treatment panangiography revealed a right posterior communicating artery aneurysm measuring approximately 8x8mm and an additional 8x6mm saccular aneurysm in the left azygos pericallosal artery—an exceedingly rare anatomical variation.
• The left middle cerebral artery aneurysm (9x5mm) had previously been treated with a coil but required further intervention.
Destaques cirúrgicos:
• Under general anesthesia, a puncture was performed on the right femoral artery, and a CEREBASE 8F introducer catheter was inserted.
• The left internal carotid artery (ICA) was accessed and a pathway was built using TJWY’s FREPASS microcatheter.
• A 5x20mm NUVA flow diverter, designed by TJWY, was deployed to treat the aneurysm in the posterior communicating artery with precision, achieving immediate blood flow stagnation.
• The neck of another aneurysm in the pericallosal artery was protected with a 10mm PCONUS intrasaccular device, and successfully embolized with 3 coils.
Resultado:
• The NUVA flow diverter demonstrated excellent wall apposition without complications.
• Post-surgery, branch vessels were fully preserved, and the patient’s recovery was smooth with no adverse events.
Um grande obrigado a toda a equipe médica por sua experiência e dedicação!
Contact us>>Marketing@lepu-medical.com
Visit lepumedical website for more >>En.lepumedical.com



