Case Sharing | Fechamento biodegradável do ASD sob a orientação TTE-somente no paciente coronário anômalo
-
2025-08-11
-
LEPU
At Fuwai Hospital Shenzhen, Dr. Lu Yaoxing's team recently performed a successful transcatheter closure of a secundum atrial septal defect (ASD) using a MemoSorb biodegradable occluder in a 34-year-old male patient with a rare coronary anomaly.
Informações-chave sobre o caso:
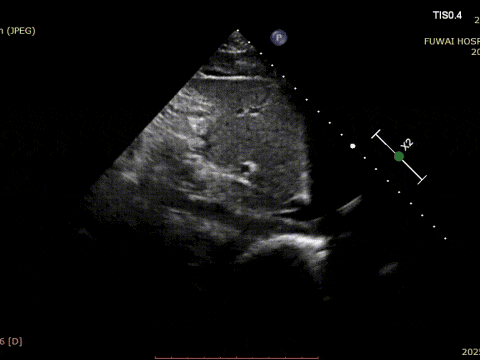
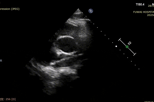
1. O TEA foi central em localização, com diâmetro medido de aproximadamente 8,1mm (visão bicaval) e 8,2mm (visão aórtica de eixo curto).
2. A ATC coronária revelou origem anômala da artéria circunflexa esquerda (CLX) a partir do seio coronariano direito, com curso entre a aorta e o átrio esquerdo.
3. A distância entre o ASD e o LCX aberrante era somente aproximadamente 6mm.
4. Não havia borda aórtica, e as bordas inferior e posterior eram relativamente moles.
Dada a proximidade do defeito com a artéria coronária, um oclusor metálico tradicional apresentava risco de compressão, especialmente durante o esforço físico. Um oclusor biodegradável do ASD (BDASD-I 18mm) foi selecionado conseqüentemente para sua flexibilidade, mais baixo risco de ferimento mecânico a longo prazo, e capacidade para degradar no dióxido de carbono e na água após ter terminado a função do fechamento.
O procedimento foi guiado pela ETT seguindo o procedimento PAN desenvolvido no Hospital Fuwai. Essa técnica de imagem livre de radiação e em tempo real oferece visualização anatômica de alta resolução, garantindo a colocação precisa do dispositivo e minimizando as complicações-particularmente valiosas em pacientes jovens em idade reprodutiva.
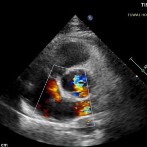
1-day postoperative TTE revealed that the occluder is in good shape without residual shunt (see last figure).
Contact us>>Marketing@lepu-medical.com
Visit lepumedical website for more >>En.lepumedical.com



